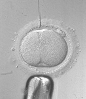
El descubrimiento de células madre en el ovario, gran avance contra la infertilidad
FertilidadUno de los desafíos de la ciencia puede estar más cerca: que mujeres con problemas de fertilidad puedan tener sus propios óvulos, sanos, y quedarse embarazadas. Una nueva investigación ha conseguido obtener precursores de óvulos humanos a...
Leer más »