¿Cuántos hijos pueden tener los donantes de semen u óvulos?
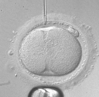
NoticiasEn España se calcula que nacen unos 15.000 niños al año por reproducción asistida, pero ¿cuántos comparten padre o madre?. En estos momentos nadie controla que nazcan como máximo 6 niños de un mismo donante de semen o de óvulos, como...
Leer más »