Asegurar la fertilidad a partir de los 35 años

Asegurar la fertilidad a partir de los 35 años
Facebook Twitter Flipboard E-mail
eva-paris

Eva Paris

Los tratamientos de restauración de la fertilidad para mujeres que eran diagmosticadas de cáncer y querían tener hijos una vez superada la enfermedad se están empleando cada vez más para otro tipo de personas, con la misma finalidad. Se trata de mujeres que, alcanzada cierta edad, quieren asegurarse la posibilidad de tener hijos más adelante.

Según han señalado expertos reunidos en el simposio internacional Fertilidad 2009 en Barcelona, la edad a la que la mujer puede empezar a plantearse la opción de preservar óvulos o tejido ovárico, son los 35 años. Es a esa edad cuando la fertilidad se ve reducida a mayor velocidad.

Estos procedimientos están pensados para mujeres que pretenden reratsar la maternidad, bien porque no tienen pareja o porque su situación económica o laboral no es propicia pero esperan que en el futuro esos términos cambien. Aunque muchas mujeres a esa edad optan por la fecundación artificial para no retrasar más el momento de quedar embarazada.

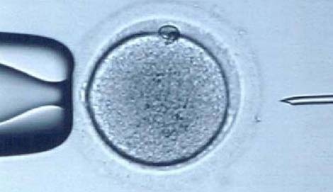
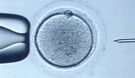
En algunas clínicas recomiendan el tratamiento a mujeres de entre 35 y 38 años. Pasados los 38, hay mujeres en las que la técnica ya no es eficaz. La técnica de preservación de fertilidad femenina suele consistir en un tratamiento hormonal de estimulación ovárica para ovular, la obtención de los óvulos por vía vaginal con sedación y la conservación de estos óvulos en nitrógeno líquido a 196 grados bajo cero.

En los casos en que la mujer tiene pareja estable, puede optarse por conservar embriones en lugar de óvulos, aunque en esta situación me resulta complicado encontrar razones para retrasar la maternidad.

De cualquier modo, siempre que sea posible no retrasar el momento de quedarse embarazada será lo mejor para la salud y el bienestar tanto de la madre como del bebé, aunque sabemos que hoy día los nacimientos incluso después de los 40 años son cada vez más frecuentes y llegan a buen fin.

Pero para los casos en que no sea posible, esta opción de hacerse un "seguro de fertilidad" a partir de los 35 años representa una esperanza al no cerrar las puertas para ese deseo de maternidad.

Vía | La Vanguardia En Bebés y más | La carrera profesional retrasa la maternidad, las jóvenes recurren a la vitrificación, Aumentan los tratamientos de fertilidad con donación de óvulos, Primera embarazada por reimplantación de tejido ovárico después de un cáncer

Comentarios cerrados
Inicio