HOY SE HABLA DE

Primera embarazada por reimplantación de tejido ovárico después de un cáncer

Primera embarazada por reimplantación de tejido ovárico después de un cáncer
Facebook Twitter Flipboard E-mail
dolores-rovati

Lola Rovati

Las mujeres que se han sometido a tratamientos agresivos de quimioterapia o radioterapia para curar un cáncer ven reducidas sus posibilidades de convertirse en madres, pero han surgido novedosas técnicas que permiten resguardar su fertilidad.

Meses atrás, Eva nos hablaba acerca de una prueba piloto, una nueva técnica de estimulación ovárica que se estaba llevando a cabo y suponía nuevas esperanzas para concebir tras un cáncer.

Ahora sabemos que la esperanza se ha vuelto una realidad pues el hospital Doctor Peset y el Instituto Valenciano de Infertilidad han conseguido el primer embarazo de España al implantar tejido ovárico a una paciente oncológica después de superar el cáncer.

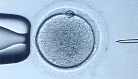
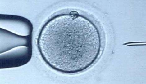
A su vez, es el primer caso en el mundo de un embarazo conseguido gracias a la combinación de dos técnicas: la extracción de corteza ovárica y la vitrificación de los ovocitos, una novedosa técnica de conservación que evita que los óvulos sean dañados durante su preservación.

Intentaré explicar en palabras sencillas en qué consiste la nueva técnica a la que varias pacientes oncológicas ya se han sometido. Previamente al tratamiento contra el cáncer, se le extrajo el tejido ovárico para preservar la fertilidad de la mujer antes de iniciar las sesiones con quimioterapia que la dejarían estéril.

La mujer de 39 años, quien si todo va bien se convertirá en madre en unos meses, ha pedido después de finalizado el tratamiento que se le reimplantara su corteza ovárica, la parte del ovario que conforma los folículos que a su vez contienen los ovocitos, que estaba congelado en único hospital español autorizado expresamente para ello.

Una vez que se le ha reimplantado su tejido ovárico, volvió a ovular y se sometió a una técnica de fecundación in vitro en la que se utilizaron óvulos frescos y vitrificados. Así logró cumplir su sueño de quedar embarazada.

Sin duda, las nueva técnica abre la puerta a la esperanza a muchas mujeres que una vez superado el cáncer desean convertirse en madres.

Vía | El Mercantil valenciano En Bebés y más | Ser madre o padre después del cáncer, Los riesgos del embarazo y el parto después de un cáncer, Embarazo tras un cáncer de útero, El IVI realizará vitrificación de óvulos gratuita a pacientes con cáncer

Comentarios cerrados
Inicio