Los mejores despigmentantes faciales que se pueden usar durante la lactancia
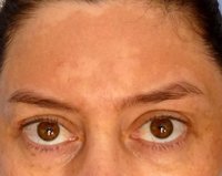
Guías de compraLas manchas del embarazo o cloasma, es una de las principales "preocupaciones cosméticas" que suelen prevalecer tras el parto. Aunque tomemos todas las precauciones, como aplicar todos los días un buen protector solar, debemos tener en...
Leer más »