Nace el primer bebé del Reino Unido concebido por vitrificación

Nace el primer bebé del Reino Unido concebido por vitrificación
Facebook Twitter Flipboard E-mail
dolores-rovati

Lola Rovati

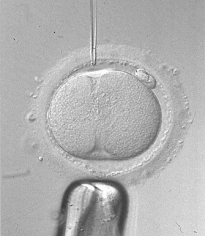
Hará cosa de un año hemos comenzado a hablar en Bebés y más de esta novedosa técnica de reproducción asistida que se está extendiendo por todo el mundo. A diferencia de la congelación convencional, la vitrificación es un proceso de congelamiento con nitrógeno líquido que impide que al descongelarse los cristales de hielo puedan dañar al embrión.

Es por eso que ha empezado a implementarse en casos en los que las parejas deciden dejar los embriones congelados a la espera del momento apropiado para el embarazo, o bien para mujeres con enfermedades como el cáncer, permitiéndoles conservar los embriones sanos antes de someterse a un tratamiento agresivo.

Lo cierto es que están naciendo los primeros bebés concebidos a través de esta innovadora técnica, y hace pocos días, concretamente el 23 de julio nacía Evie, el primer bebé producto de la vitrificación en el Reino Unido.

Es la primera de una larga lista de niños que nacerán en ese país gracias a la vitrificación pues de 39 pacientes sometidas a esta técnica, 17 han quedado embarazadas de gemelos.

Como vemos, la ciencia sigue avanzando a pasos agigantados para hacer realidad a muchas parejas el sueño de ser padres, de una forma cada vez más segura. Otra cuestión es si es natural (exceptuando los casos de enfermedades) congelar los embriones a la espera del momento ideal para ser padres.

Vía | Adn En Bebés y más | Nuevos embarazos a través de la vitrificación En Bebés y más | Nacerán los bebés de óvulos congelados por vitrificación En Bebés y más | La carrera profesional retrasa la maternidad, las jóvenes recurren a la vitrificación En Bebés y más | El IVI realizará vitrificación de óvulos gratuita a pacientes con cáncer

Comentarios cerrados
Inicio