HOY SE HABLA DE

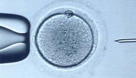
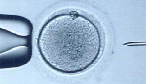
Mayor riesgo de muerte fetal con la fecundación in vitro, según estudio

Mayor riesgo de muerte fetal con la fecundación in vitro, según estudio
Facebook Twitter Flipboard E-mail
dolores-rovati

Lola Rovati

Ha salido a la luz un estudio reciente que cuestiona la seguridad de esta técnica de reproducción asistida asegurando que en los embarazos logrados por fecundación in vitro (FIV) tienen cuatro veces más riesgo de muerte fetal.

Desde luego, esta conclusión ha puesto los pelos de punta a muchos expertos que defienden la fiabilidad de la FIV. Afirman que podría malinterpretarse el estudio y sembrar una alarma innecesaria.

En el estudio en cuestión, publicado en Human Reproduction, los investigadores han hallado que la muerte fetal después de la semana 24 de gestación era cuatro veces mayor en los bebés concebidos mediante FIV, en cambio no lo era en las parejas subfértiles o tratadas con otras técnicas como la inseminación y la estimulación hormonal.

Quienes no están de acuerdo con las conclusiones de la investigación argumentan que el riesgo de muerte fetal está relacionado con las características de la población que se somete a las técnicas de reproducción asistida, sin embargo al vincular una mayor tasa de muerte fetal con la FIV y no con otras técnicas, se echaría por tierra esta postura.

Por su parte, hay un estudio sueco anterior que también rebate la teoría del nuevo estudio afirmando que no hay relación alguna entre fecundación artificial (no se especifica la técnica) y un aumento de la mortalidad fetal.

Lo cierto es que no se explican las discrepancias entre ambas investigaciones, por lo que debemos ser cautos en su interpretación.

De cualquier modo, dado que la técnica de fertilización in vitro está muy extendida entre las parejas que no pueden concebir de forma natural, es deseable que las investigaciones sobre su seguridad sean más claras. Así cada pareja podrá decidir sobre la base de una información fiable analizando las ventajas y desventajas de la técnica.

Vía | El Mundo Salud Más información | Human Reproduction En Bebés y más | Todo sobre fecundación in vitro en la revista "Mi ginecólogo", Aumentan un 15% las probabilidades de embarazo con fecundación in vitro en Valencia

Comentarios cerrados
Inicio