En Estados Unidos estudian el desarrollo cerebral de los niños mediante RM

En Estados Unidos estudian el desarrollo cerebral de los niños mediante RM
Facebook Twitter Flipboard E-mail
velsid

VelSid

Conocer exactamente cómo se desarrolla el cerebro de un niño desde su nacimiento hasta la edad adulta es un proyecto que se inicio en 1999 por los Institutos Nacionales de Salud de Estados Unidos. Intervienen niños de varias razas que pertenecen a distintas zonas geográficas y a distintos estratos de la sociedad, se trata de una gran base de datos que permitirá conocer con más exactitud la respuesta a distintas cuestiones, saber por qué un niño rinde más a nivel intelectual que otro, cómo influye el entorno familiar, el medioambiente, las enfermedades, etc.

A medida que este proyecto avanza, se obtienen nuevos datos que se incorporan a la base, pero ya se han publicado algunas de las primeras conclusiones resultantes del estudio en la revista digital Journal of the International Neuropsychological Society.

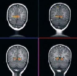
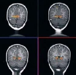
El estudio se realiza tomando imágenes de los cerebros de los niños periódicamente hasta que cumplan los 18 años, estas imágenes son obtenidas a través de la resonancia magnética. Los datos publicados corresponden al estudio elaborado a 385 niños de 6 años en adelante, un conjunto de fotografías cerebrales y distintas pruebas donde se ha evaluado la inteligencia, la sociabilidad, la destreza, etc., han servido para obtener algunas respuestas.

El nivel social en el que se encuentra un niño influye notablemente en su inteligencia y los problemas de comportamiento son mayores comparándolos con los niños que pertenecen a un estrato social más elevado. Con respecto a otras funciones, memoria, fluidez verbal o la diferencia de sexos, no se encontraron diferencias significativas.

Nos centramos en esta cuestión, anteriormente ya aparecieron diversos estudios que indicaban que el nivel social influía notablemente en el niño. Poco a poco se está conformando una gran base de datos que muestra que aspectos influyen notablemente en el desarrollo cerebral y cómo pueden cambiarse los que son negativos.

En un futuro no muy lejano se podrán abordar problemas que afectan al desarrollo cerebral de los niños con mayor eficacia, para ello no cesan los estudios, que a largo plazo esperamos que den sus frutos. Os recomendamos leer la publicación al respecto en El Mundo.

Vía | El Mundo Salud Más información | Journal of the International Neuropsychological Society

Comentarios cerrados
Inicio