Extirpan a una adolescente el feto malformado de su gemelo: un extraño caso de "fetus in fetu"

Extirpan a una adolescente el feto malformado de su gemelo: un extraño caso de "fetus in fetu"
Sin comentarios Facebook Twitter Flipboard E-mail
dolores-rovati

Lola Rovati

Lo que se conoce como "Fetus in fetu" (FIF) es una condición extremadamente rara en la que el feto malformado se encuentra en el gemelo vivo. Es tan extraño que ocurre en aproximadamente uno de cada 500.000, o incluso un millón de nacimientos, y se han reportado menos de 200 casos en la literatura médica.

El último caso conocido es el de una adolescente india de 17 años que acudió al médico por un bulto en el abdomen que había comenzado a sentir desde hacía cinco años, y creían que podría tratarse de un tumor. Sin embargo, al extirparlo, los médicos hallaron que se trataba de su hermano gemelo que no había llegado a formarse durante el embarazo, y que continuaba creciendo.

Un caso doblemente excepcional

El caso fue reportado en la publicación científica BMJ Journals por su excepcionalidad, no solo por el caso en sí, sino que es la primera vez que se detecta en una mujer casi adulta. La mayoría de los casos se han descrito en recién nacidos y niños y solo se han notificado siete casos después de los 15 años, todos en hombres.

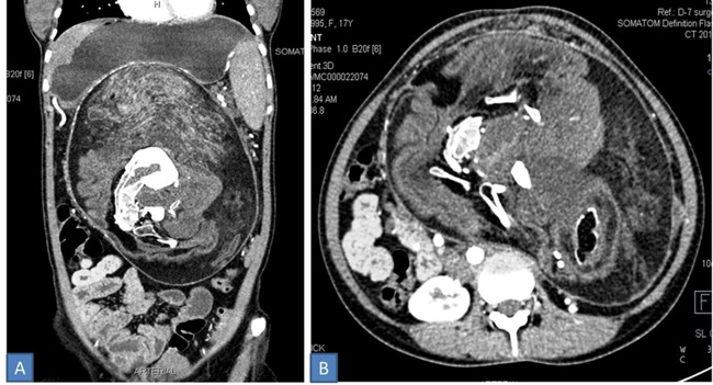
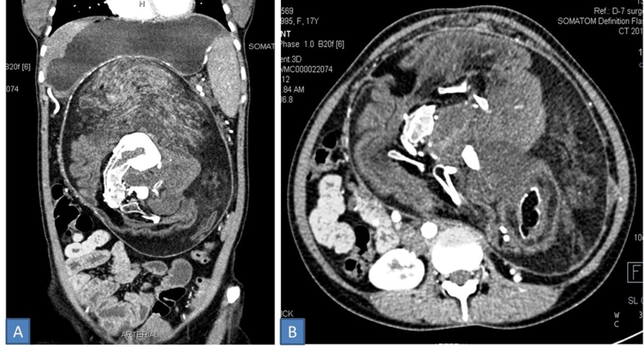
En la analítica de la joven encontraron gonadotropina coriónica beta-humana (β-HCG) y proteína alfa feto, hormonas presentes en el embarazo. También hallaron una masa abdominal de consistencia firme a dura, de superficie irregular y que no se movía con la respiración. Al realizarle una tomografía computarizada (CECT) con contraste, esta mostró una masa bien definida que al extirparla medía 30×16×10 cm.

Mostraba además áreas de densidad de grasa, tejido blando y múltiples componentes de densidad calcificada de varios tamaños y formas "que se asemejaban a la forma de vértebras, costillas y huesos largos".

Además, se descubrieron "múltiples dientes y estructuras que se asemejaban a las yemas de las extremidades". Esta masa estaba causando desplazamiento y compresión de las vísceras abdominales adyacentes.

"Fetus in fetu" o gemelo-parásito

fetus-infetu "Fetus in fetu". Abultamiento abdominal de la paciente.

¿Cómo sucede? Se da por un error genético durante la fecundación del óvulo. La segmentación de las dos células que darán lugar a los fetos no se produce como debiera, causando que un embrión absorba al otro durante el crecimiento.

Un gemelo atrofiado que no ha llegado a formarse es encontrado en el interior del otro gemelo, beneficiándose de la circulación fetal, como un parásito. Es sumamente raro que ocurra, pero en la mayoría de los casos se diagnostica en los primeros años de vida (un 89% antes de los 18 meses) e incluso durante el embarazo mediante las ecografías.

Generalmente, se diagnostica como una tumoración (llamada teratoma) compuesta de tejidos embrionarios que se encuentra dentro del cuerpo de su hermano gemelo.

Vía BMJ
En Bebés y más | Una niña de un año está "embarazada" de su hermana

Comentarios cerrados
Inicio