HOY SE HABLA DE

El increíble embarazo de un bebé que atravesó el útero con sus piernas

El increíble embarazo de un bebé que atravesó el útero con sus piernas
4 comentarios Facebook Twitter Flipboard E-mail
armandobastida

Armando

Sé que hoy es día 28 de diciembre y que lo más probable es que penséis que este post es una broma, pero no, no lo es. El pasado 22 de diciembre la revista The New England Journal of Medicine publicó un artículo explicando un caso curioso, muy curioso, por lo peligroso del suceso, y porque tanto la madre como el bebé están bien de salud: el bebé atravesó el útero de su madre con sus piernas.

Cinco cesáreas previas

Seguramente os estaréis preguntando cómo pudo suceder. Pues bien, la respuesta la tenéis aquí: la mujer, de 33 años de edad, estaba gestando a su sexto bebé, habiendo nacido los cinco anteriores mediante cesárea.

Uno de los riesgos de la cesárea (y una de las razones por las que se recomienda que la cesárea se haga solo cuando es necesaria) es la rotura de útero. El riesgo de que se produzca es de entre un 0.2 y un 1% en el siguiente embarazo, y de hasta un 6% si durante el siguiente parto se realiza una inducción.

Después de una segunda cesárea, el riesgo de ruptura uterina se cuadriplica. Pero no hablamos de una mujer con dos cesáreas, sino de una que llevaba ya cinco cesáreas previas, así que el riesgo era mucho mayor. De hecho, ya llevaba dos cesáreas más de las recomendadas, porque los médicos consideran que el número máximo de cesáreas que se considera relativamente seguro es tres. A partir de esa cifra, el riesgo es muy elevado (y para muestra este embarazo que os contamos hoy).

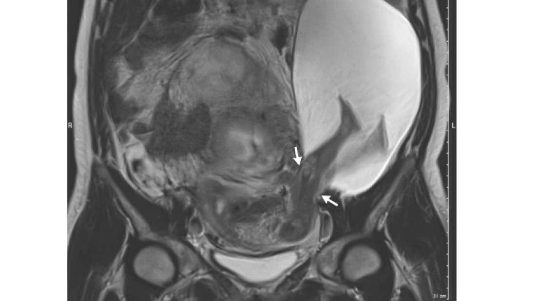
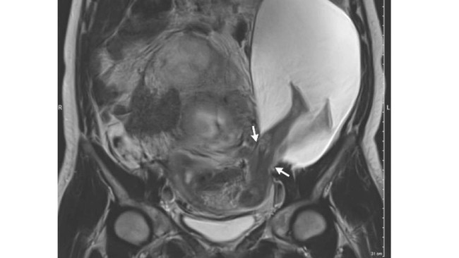
En la semana 22 atravesó el útero con las piernas

O al menos fue entonces cuando lo vieron. En la semana 22 se realizó una ecografía de rutina y vieron que algo no iba bien. Entonces le hicieron una resonancia magnética que reveló lo que veis en la imagen de arriba: las piernas del bebé habían salido del útero, y con ellas parte del saco y del líquido amniótico. La apertura medía unos 2,5 cm y a través de ella se habían colado sus piernas y las otras estructuras.

Los médicos informaron a la mujer y a su pareja del peligro que suponía esta condición: que el útero se rompiera totalmente, que la placenta se quedara adherida, que el parto fuera prematuro y que se tuviera que extirpar el útero, entre otros riesgos aún mayores.

Se decidió seguir adelante con el embarazo pero con un control exhaustivo del mismo para actuar en caso de que hubiera cualquier variación o complicación. Gracias a ello se consiguió llegar hasta las 30 semanas de gestación.

En la semana 30 nació el bebé tras la sexta cesárea

Finalmente, en la semana 30 se hizo una nueva ecografía que reveló que la apertura medía ya 5 cm y que la parte del saco que estaba fuera del útero había crecido de tamaño aún más. Entonces se realizó la que sería la sexta cesárea de la mujer, que dio como resultado el nacimiento de un bebé varón sano que pesó 1,385 Kg.

Tras el nacimiento suturaron el útero y todo fue bien: no hubo complicaciones para la madre ni para el bebé y seis meses después del suceso, según leemos en IFLScience, el bebé y la madre están bien.

En Bebés y más | El extraño caso de los bebés de piedra, El parto en el agua más extraño de la historia: se dio un baño sin saber que estaba embarazada y salió con un bebé, Pregunta a la matrona: Parto vaginal después de cesárea (PVDC)

Comentarios cerrados
Inicio