HOY SE HABLA DE

Nace una bebé "embarazada" de gemelos en Hong Kong

Nace una bebé "embarazada" de gemelos en Hong Kong
2 comentarios Facebook Twitter Flipboard E-mail
dolores-rovati

Lola Rovati

Es una condición muy extraña que se da en uno de cada 500 mil nacimientos conocida como "Fetus in fetu", un caso excepcional de gemelo-parásito. Sólo se conocen unos 200 casos en todo el mundo de fetos atrofiados que no han llegado a formarse y que han sido encontrados en el interior del otro gemelo, beneficiándose de la circulación fetal, como un parásito.

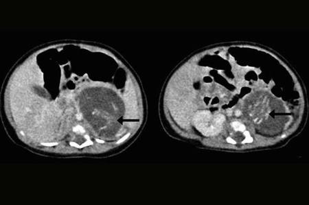
El último caso se ha diagnosticado en Hong Kong donde nació una bebé "embarazada" de gemelos. Dentro de su vientre se encontraron dos fetos, uno de ocho y el otro de diez semanas de gestación, que tenían formadas las piernas, los brazos, la columna y parte de los intestinos.

Baby Born With Two Foetuses In Stomach 1

Arriba se puede ver la imagen de una tomografía computarizada de la niña en la que se ve la columna vertebral de los fetos y que ha quedado registrada, por su carácter extraordinario, en el último número de la revista Hong Kong Medical Journal.

Es sumamente raro que ocurra, pero en la mayoría de los casos se diagnostica en los primeros años de vida (un 89% antes de los 18 meses). A veces se puede detectar mediante ecografías en el embarazo, pero es complicado por lo pequeños que pueden llegar a ser los restos. En este caso, uno de los fetos pesaba 14,2 gramos y el otro 9,3 gramos.

Apenas con tres semanas de vida, la niña fue operada para extraer los fetos de sus hermanos que nunca llegaron a nacer y fue dada de alta ocho días después.

Realmente son casos muy impresionantes de casos raros de gemelos, y este es especialmente excepcional por tratarse no sólo del feto de un hermano gemelo, sino de dos fetos dentro de otro.

Foto portada | Thinkstock
Vía | Mirror
En Bebés y más | Una niña de un año está "embarazada" de su hermana

Comentarios cerrados
Inicio