Impresionantes imágenes de las primeras horas del embrión humano

Lola Rovati

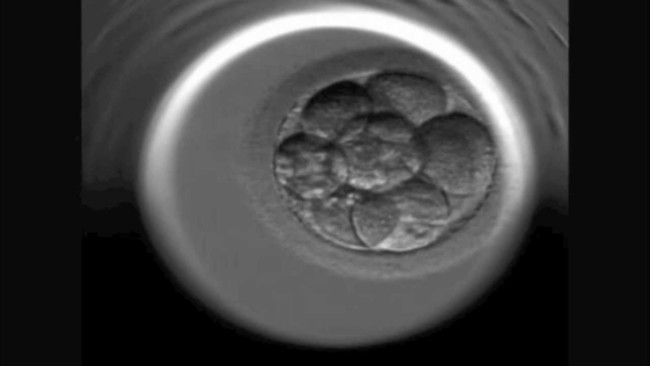
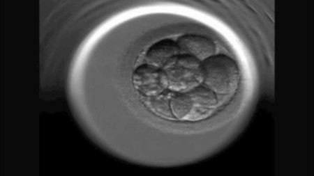
Cuesta imaginar que la creación de una vida sea tan perfecta, pero los avances tecnológicos hacen que tengamos la posibilidad de comprenderlo mejor gracias a impresionantes imágenes como las que os traigo hoy de las primeras horas del embrión humano.

Han sido logradas gracias a un técnica pionera que apareció hace aproximadamente dos años llamada Embryoscope, que se presentaba en su momento como el futuro de la fecundación in vitro por ser capaz de aumentar en un 20 por ciento las posibilidades de embarazo.

Embryoscope está implantado en un número importante de centros de fertilidad y consiste en una novedosa incubadora con una cámara de vídeo que graba su desarrollo. Permite obtener imágenes del embrión en sus primeros días antes de ser implantado en el útero de la madre, lo cual es muy útil para seleccionar los embriones que tienen una mayor calidad.

En el vídeo podéis ver las complejas divisiones celulares que se dan desde la unión del óvulo y el espermatozoide y la formación del cigoto (primera célula fecundada) hasta la creación de la mórula, llamada así porque se asemeja a una mora. En los humanos llega a estar formada hasta por 32 blastómeros a los cuatro días de la fecundación.

Cada vez que veo este tipo de imágenes no dejo de sorprenderme.

Más información | YouTube En Bebés y más | Calendario de embarazo: de la semana 0 a la semana 4

Ver todos los comentarios en https://www.bebesymas.com

VER 0 Comentario